Head to tail feline CPD for practitioners: Course 2 – The Thorax
£300.00
This online course tales place from 9 am to 5 pm. Topics covered include various common but challenging topics in feline medicine and oncology.
This online course tales place on 2nd July 2026
Topics covered include various common but challenging topics in feline medicine and oncology.
The course is delivered by five RCVS Specialists:
Dr Sarah Caney, RCVS Specialist in Feline Medicine
Dr Sam Taylor, RCVS Specialist in Feline Medicine
Dr Katarzyna Purzycka, RCVS Specialist in Veterinary Oncology
Dr César Sánchez Jiménez, RCVS Specialist in Diagnostic Imaging
Dr Will Davis, RCVS Specialist in Small Animal Cardiology
Numbers will be limited to encourage and facilitate a relaxed atmosphere for discussion and interaction. Designed to fit around family and real life, the course offers an opportunity to discuss cases and controversies with leading experts, as well as catch up on the latest information.
This course is aimed at clinicians looking for practical, ‘real life’ advice on case management. Latest updates on approach to diagnosis and management of common conditions will be presented.
The course will be delivered on Zoom.
Cost: £300 per day
A Zoom link will be sent in advance of the course (1 week before, 1 day before): please ensure that the email address you provide when paying for this course is one that we can contact you on.
CPD hours: Each day is equivalent to 6 hours of CPD
The course will open at 9 am; six hours of lectures starting at 9.10 and finishing at 17.00. (Running order to be finalised)
- Cardiology: The latest on congestive heart failure: more than furosemide? (Will Davis)
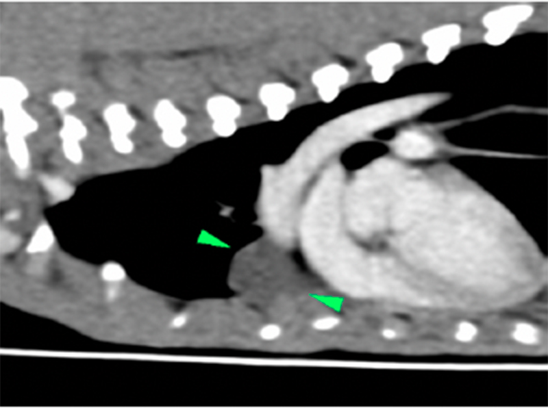
- Imaging: Film reading and more: imaging the thorax does not always have to be frustrating (TBC)
- Medicine 1: Thoracic POCUS for dyspnoeic cats: keep the xray machine turned off? (Sam Taylor)
- Oncology: Tumours of the thorax: because cats are not small dogs! (Kasia Purzycka)
- Medicine 2: Tap that: pleural effusions simplified (Sarah Caney)
- Infectious disease: which lower respiratory bugs do I need to worry about (Sam Taylor)
Sarah Caney BVSc PhD DSAM(Feline) MRCVS, RCVS Recognised Specialist in Feline Medicine
Sarah Caney is an internationally recognised specialist in feline medicine who has worked as a feline-only vet for more than thirty years. She trained as a specialist at the University of Bristol and is one of fifteen recognised specialists in feline medicine working within the UK. Sarah has written or co-written four books published by her business Vet Professionals including ‘Caring for cat with chronic kidney disease’. Sarah conducts online owner surveys and has published much of her research results in the Journal of Feline Medicine and Surgery. As a clinician, Sarah sees first opinion and referral feline cases in a large hospital in Cheshire.
Samantha Taylor BVetMed(Hons) CertSAM DipECVIM-CA MANZCVS PgCert FHEA FRCVS, RCVS Recognised Specialist in Feline Medicine, EBVS Specialist in Internal Medicine
Sam completed a Feline Advisory Bureau Residency at Bristol University and was awarded the European Diploma in Veterinary Internal Medicine in 2009. In 2011 she became an RCVS Recognised Specialist in Feline Medicine and in 2019 was made a Fellow of the Royal College of Veterinary Surgeons for outstanding contributions to the profession. She is also a Member of the Australian and New Zealand College of Veterinary Scientists (Medicine of Cats). Sam is a consultant for the International Cat Care Veterinary Society and works as an Internal Medicine Specialist at Lumbry Park Veterinary Specialists in Hampshire. Sam is an Honorary Lecturer in Internal Medicine at Surrey University Veterinary School, a tutor on the Sydney CVE feline medicine course and coordinates the iCatCare International Guidelines. Sam is also a consultant for the Veterinary Information Network (VIN), Associate Editor at JSAP and on the RCVS Fellowship Credentials Panel. Sam co-authored guidelines on hypertension, diabetes mellitus, NSAIDs, acute pain, inappetence, blood transfusion, urinary tract disease and others. She has written books, book chapters and papers on internal medicine topics and enjoys a mix of clinical work, writing and lecturing and is currently completing a PhD in feline health and welfare. She has a particular interest in clinical research to answer those important questions to practically improve feline health and wellbeing and has been closely involved in the worldwide launch of legal drugs to treat FIP.
Kasia Purzycka DVM MVetMed DipACVIM (Oncology) MRCVS, American, European and RCVS Recognised Specialist in Veterinary Oncology
Kasia obtained her veterinary degree in 2014 in Warsaw, Poland after spending four years at the Warsaw University of Life Sciences, one year at the Autonomous University of Barcelona and a final year at the University of Veterinary Medicine in Vienna, Austria. Following a rotating internship in small animals at the University hospital in Munich, Germany, Kasia moved to the United Kingdom where she completed a specialised oncology internship at the Animal Health Trust referral hospital in Newmarket. Kasia completed her residency in medical oncology at the Royal Veterinary College in October 2019, and successfully passed the certifying examination of the American College of Veterinary Internal Medicine (ACVIM) Oncology in the same year, becoming an American Veterinary Specialist in Oncology. She also completed a master’s degree with the final research project on canine T cell lymphoma. In addition to her busy clinical activities and providing care to cancer patients in a busy referral hospital, Kasia enjoys teaching interns, residents, general practitioners and veterinary nurses on all aspects of veterinary oncology. Kasia has presented her research work at multiple conferences in Europe and US. She has lectured for veterinarians across the world, including Poland, US, UK, Austria and Hong Kong.
Dr César Sánchez Jiménez
César graduated in Cáceres, Spain, and moved to the UK, where he developed his expertise in diagnostic imaging across first-opinion and referral practice, completing a Certificate, an MSc, and a residency before qualifying as a European Specialist in Veterinary Diagnostic Imaging. He is the founder of VIMOS, providing specialist imaging services in general practice. Outside clinical work he loves sports and photography.
Dr Will Davis
Will graduated from the University of Nottingham in 2018. He began his career in primary care small animal practice in Wiltshire. He undertook an internship at Langford Vets before completing a residency in Small Animal Cardiology at the University of Liverpool. Will joined Lumbry Park in 2025 as a specialist in Small Animal Cardiology.
Vet Professionals is an experienced provider of quality CPD for vets and nurses. We use the very best speakers in their field who provide up to date, practical information aimed at clinicians wishing to update their skills.
We offer…
- Practical topics on veterinary medicine designed to help you in your practice
- Internationally respected speakers and experts in their field
- An informal atmosphere that encourages discussion and interaction with the speakers
- Speaker presentations and additional notes (where appropriate) provided in electronic form after the course
- Help and advice from your speakers on the day and post-course
- Payment must be made in full at the time of booking. Once your payment has been received, you will receive an emailed receipt and confirmation of your booking. A Zoom link for the course itself will be emailed 1 week and 1 day before the course.
- All courses are non-residential.
- Paid for places can be transferred to another person (no charge).
- Vet Professionals reserves the right to alter the course content should this become necessary. In the event of cancellation of a course by Vet Professionals, course fees will be refunded in full.
Cancellation Policy
- All amendments to bookings should be in writing.
- Emergency cancellations and refunds will be decided on an individual basis and may be subject to an administration fee.







